Snus, te pozornie niewielkie saszetki, posiadają długą i interesującą historię, sięgającą aż XVI wieku. Te małe woreczki, wypełnione zmielonym tytoniem oraz różnymi dodatkami, zyskały dużą popularność szczególnie w krajach skandynawskich, a zwłaszcza w Szwecji. Początkowo stosowano je głównie jako formę tytoniu przeznaczoną do żucia i inhalacji, jednak z biegiem czasu przekształciły się one w nowoczesną wersję, którą znamy obecnie. Wprowadzenie snusu jako produktu „do ust” zlikwidowało potrzebę palenia, co z pewnością przyciągnęło wielu miłośników nikotyny, którzy postanowili wypróbować tę alternatywną opcję.

Choć snus stał się ulubienem wielu osób (szczególnie wśród tych, którzy szukają mniej inwazyjnych sposobów na dostarczenie nikotyny), to jednak nie wszyscy zdają sobie sprawę, że w jednym małym woreczku skrywa się prawdziwy „koktajl” nikotynowy – od 50 do 60 mg! Ta ilość znacząco przewyższa to, co znajdziemy w tradycyjnych papierosach. Można to porównać do zestawienia małego, niegroźnego psa z całym stadem wilków. Dlatego właśnie wyjątkowo ważne jest, by nie dać się zwieść ich kuszącemu urokowi.
Jak snus zdobył serca użytkowników?
Niewątpliwie, w tej dyskretnej formie korzystania z nikotyny tkwi coś intrygującego. Wygląda to bowiem tak, jakbyśmy po prostu żuli gumę, a nie sięgali po tytoń! Dlatego snus szybko zyskał zwolenników nie tylko w Skandynawii, ale również w innych krajach, w tym w Polsce. Ponieważ nie wydziela dymu, można go stosować, nie przyciągając uwagi innych. Z tego powodu wielu nastolatków decyduje się na te saszetki, sądząc, że są „bezpieczniejsze” od papierosów. Niestety, narracja na ten temat nie jest tak pozytywna, jak mogłoby się wydawać.
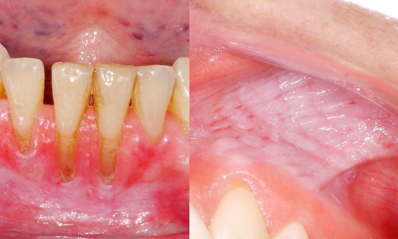
Nie dajmy się zwieść pozorom – snus wcale nie jest taki niewinny! Mimo że brakuje dymu, dalej oferuje silne działanie nikotyny, co prowadzi do uzależnienia oraz nieprzyjemnych konsekwencji zdrowotnych. Badania dowodzą, że długotrwałe stosowanie snusu może zwiększać ryzyko nowotworów jamy ustnej i chorób serca. Czy można więc mówić o beztroskim snusowaniu, nie martwiąc się o zdrowie zębów czy serca? Zdecydowanie lepiej przemyśleć tę kwestię, zanim zdecydujemy się na tę „słodką” chwilę z nikotyną.
Oto kilka kluczowych informacji o zdrowotnych skutkach stosowania snusu:
- Zwiększone ryzyko nowotworów jamy ustnej
- Podwyższone ryzyko chorób serca
- Uzależnienie od nikotyny
- Problemy z zębami i dziąsłami
Zdrowotne skutki stosowania snusu – na co zwrócić uwagę?
W ostatnich latach snus zyskał popularność nie tylko w Skandynawii, ale także w Polsce. Małe, białe saszetki nikotynowe, które umieszczasz pod górną wargą, obiecują szybką dawkę pobudzenia bez dymu tytoniowego. Zanim jednak wpadniesz w pułapkę tego „bezdymnego” wynalazku, warto przyjrzeć się ukrytym skutkom zdrowotnym, które mogą czaić się za tym modnym dodatkiem do życia. Czy jesteś gotowy na poznanie ciemniejszej strony snusu? W takim razie warto zadać pytanie: na co zwrócić uwagę?
Snus – słodka pułapka dla Twojego zdrowia

Te małe saszetki, chociaż nie produkują dymu, kryją w sobie potężną dawkę nikotyny, która może być znacznie wyższa niż w tradycyjnych papierosach. Dlaczego to ważne? Bowiem nikotyna to silnie uzależniająca substancja, a regularne stosowanie snusów prowadzi do chronicznego uzależnienia oraz poważnych problemów zdrowotnych. Co więcej, badania wykazują, że długotrwałe używanie snusu wiąże się ze zwiększonym ryzykiem zachorowania na nowotwory jamy ustnej i gardła. Zatem nawet jeśli twój ulubiony snus ma smak mango, nie daj się zwieść – zdrowie nie ma słodkiego posmaku!
Możliwe, że zastanawiasz się, czy snus jest bezpieczniejszy niż papierosy. Chociaż w przypadku snusów nie wdychasz dymu, nie oznacza to, że są one wolne od zagrożeń. Użytkownicy często zauważają zwiększone ciśnienie krwi oraz ryzyko chorób sercowo-naczyniowych, które mogą prowadzić do zawałów serca czy udarów. Ponadto, na dłuższą metę snus przyczynia się do uszkodzenia jamy ustnej, co skutkuje stanami zapalnymi dziąseł i innymi problemami stomatologicznymi. Od czarnych plam na zębach po nowotwory – niestety, snus nie jest przyjacielem w sąsiedztwie!
Uzależnienie, które może cię zaskoczyć
Nie sposób pominąć faktu, że snus uzależnia, a jego atrakcyjność wśród młodzieży rośnie. Łatwość użycia i dyskrecja sprawiają, że coraz więcej osób, zwłaszcza nastolatków, sięga po te saszetki z przekonaniem, że będą mniej szkodliwe niż papierosy. Jednak nie daj się zwieść kolorowym opakowaniom, które przypominają cukierki – zbyt wielu młodych ludzi nie zdaje sobie sprawy, że każda saszetka „słodkiego snusu” to nie tylko atrakcyjny smak, ale również potencjalna pułapka na przyszłe uzależnienie i problemy zdrowotne. Dlatego warto zadać sobie pytanie: czy naprawdę chcemy wprowadzać taki produkt do naszej diety?
- Uzależnienie od nikotyny – snus zawiera wysokie stężenie nikotyny.
- Ryzyko nowotworów – długotrwałe stosowanie może prowadzić do nowotworów jamy ustnej i gardła.
- Problemy stomatologiczne – stan zapalny dziąseł i inne problemy zdrowotne w jamie ustnej.
- Choroby sercowo-naczyniowe – snus może zwiększać ciśnienie krwi i ryzyko zawału serca.

Podsumowując, snus, mimo że wydaje się bezpieczniejszą alternatywą, niesie ze sobą wiele zagrożeń zdrowotnych. Użytkowanie tych małych saszetek może prowadzić do poważnych konsekwencji zdrowotnych, a ich popularność wśród młodzieży budzi słuszne obawy. Dlatego zanim zdecydujesz się na eksperymenty z tym produktem, warto dobrze się zastanowić, a najlepiej zasięgnąć rady specjalisty. W końcu życie zbyt krótkie, aby martwić się o przyszłe problemy zdrowotne spowodowane modą na snusy!
Porównanie snusu z innymi produktami tytoniowymi – co wybrać?
Snus stanowi nowoczesną alternatywę dla tradycyjnych wyrobów tytoniowych, która zdobyła popularność, zwłaszcza w krajach skandynawskich, a ostatnio także w Polsce. To niewielkie saszetki wypełnione mielonym tytoniem umieszczamy pod górną wargą, co zapewnia dyskretny sposób na przyjęcie nikotyny. Dlaczego snus przyciąga wielu palaczy? Przede wszystkim nie generuje dymu, co oznacza, że możesz korzystać z niego w miejscach publicznych bez obaw, że twoje ubrania będą pachnieć jak popielniczka po imprezie. Poza tym, brak intensywnego zapachu sprawia, iż znajomi mogą nawet nie zauważyć, że sięgasz po ten „czarodziej”.
Zalety snusu w porównaniu z papierosami
Choć liczne osoby uznają snus za „zdrowszą” alternatywę dla papierosów, warto mieć na uwadze, że mimo braku dymu, wciąż wchłaniamy nikotynę, która ma silne właściwości uzależniające. W każdym snusie znajdujemy więcej nikotyny niż w jednym papierosie! Tak, to prawda — znacznie więcej! Jednak dla wielu ludzi, którzy próbują rzucić palenie, snus stanowi mniej inwazyjną opcję korzystania z nikotyny. Pomaga zaspokoić głód nikotynowy, ale jednocześnie niesie ze sobą ryzyko szybkiego uzależnienia, a przecież nie chcesz wpaść w pułapkę używek, prawda?
Porównanie snusu i innych form nikotyny
Gdy rozmawiamy o alternatywach dla tytoniu, snus z pewnością ma konkurencję, taką jak e-papierosy czy woreczki nikotynowe. E-papierosy działają na zasadzie inhalacji nikotyny, jednak niosą ze sobą ryzyko związane z dymem, który może zawierać wiele szkodliwych substancji. Z kolei woreczki nikotynowe, które nie zawierają tytoniu, wydają się bardziej neutralne i są legalne w Polsce. Niemniej jednak, należy pamiętać, że niezależnie od wyboru, każdy z tych produktów wiąże się z ryzykiem uzależnienia oraz potencjalnymi problemami zdrowotnymi. Zatem, co wybrać? To kluczowe pytanie, na które nie ma jednej, prostej odpowiedzi. Najważniejsze to podejmować świadome decyzje! Kto wie, może nadszedł czas na przekąski bez nikotyny?

Oto kilka alternatywnych produktów nikotynowych, które można porównać ze snusem:
- E-papierosy
- Woreczki nikotynowe
- Tabletki nikotynowe
- Plastry nikotynowe
Aspekty prawne i regulacje dotyczące snusu w Polsce i na świecie
Snus, czyli niewielkie saszetki z nikotyną, stał się aktualnym hitem wśród używek. Zyskuje popularność szczególnie w krajach skandynawskich, ale także w Polsce. Umieszczanie ich między wargą a dziąsłem wydaje się sprytnym rozwiązaniem, zwłaszcza dla tych, którzy pragną unikać wizerunku palacza papierosów, a jednocześnie szukają natychmiastowego zastrzyku energii. Należy jednak pamiętać, że snus, mimo braku dymu, wymaga pewnej dozy rozwagi. W końcu nikt nie pragnie borykać się z nikotynowym potworem, który może stać się zarówno przyjacielem, jak i wrogiem!
Status prawny snusu w Polsce

W Polsce wprowadzenie snusu do obiegu jest całkowicie zakazane, analogicznie jak przemycanie kaczora Donalda do sejmowej kasy. Chociaż posiadanie snusu na własny użytek, czyli po prostu dla „hipsterskiego” kaprysu, nie wiąże się z karą, sprzedaż i handel tym produktem są surowo zabronione. Na szczęście, w przeciwieństwie do Szwecji, gdzie snus uchodzi za niemal narodowy skarb, Polacy, którzy decydują się na jego zakup w sieci, narażają się na nieprzyjemne konsekwencje. Prawodawcy w tym przypadku delikatnie mówią: no pasaran!
Sytuacja dotycząca prawa w zakresie snusu na całym świecie przedstawia się równie ciekawie. W niektórych krajach, na przykład w Norwegii czy Szwecji, snus ma status bardziej zbliżony do czekoladek, ponieważ można go spotkać na półkach sklepowych. W innych częściach Europy, tak jak na Wyspach Brytyjskich, jest to raczej towar z czarnego rynku. Ciekawostką pozostaje fakt, że Unia Europejska przyznaje, iż snus wymyka się ich dyrektywom, ale jednocześnie nie zapomina o wprowadzeniu ostrzeżeń zdrowotnych na paczki, tak jak w przypadku tradycyjnych papierosów.
Dlaczego snus jest problematyczny?
Niezwykle istotne jest, aby nie ukrywać, że snus niesie ze sobą kilka minusów, które przypominają, że nie wszystko złoto, co się świeci. Choć jego stosowanie nie wiąże się z wdychaniem dymu, to jednak niesie ryzyko poważnych problemów zdrowotnych, takich jak nowotwory jamy ustnej czy choroby serca. Wyższe stężenie nikotyny w porównaniu do papierosów czyni go niezwykle uzależniającym produktem. Ostatecznie sprytne saszetki mogą wprowadzić błądzącego palacza w złudzenie, że znajduje się w bezpiecznym nałogu. Jak to się mówi – wygląda jak cukierek, kosztuje jak tytoń, a szkodzi równie dobrze, co jedno i drugie. Dlatego zanim zdecydujemy się na snus jako nowe towarzystwo, warto zastanowić się nad jego potencjalnymi efektami ubocznymi.
Oto kilka kluczowych problemów zdrowotnych związanych z używaniem snusu:
- Nowotwory jamy ustnej
- Choroby serca
- Uzależnienie od nikotyny
- Podrażnienia błony śluzowej
- Ryzyko wystąpienia chorób przyzębia
| Kraj/Region | Status prawny snusu |
|---|---|
| Polska | Zakaz wprowadzenia do obiegu, brak kar za posiadanie na własny użytek, surowy zakaz sprzedaży i handlu. |
| Szwecja | Snus uznawany za niemal narodowy skarb, dostępny w sklepach. |
| Norwegia | Podobnie jak w Szwecji, snus dostępny w sklepach. |
| Wielka Brytania | Snus traktowany jako towar z czarnego rynku. |
| Unia Europejska | Snus wymyka się dyrektywom UE, wprowadzone ostrzeżenia zdrowotne na paczki. |
